top of page


Cómo elegir al mejor periodoncista Puebla
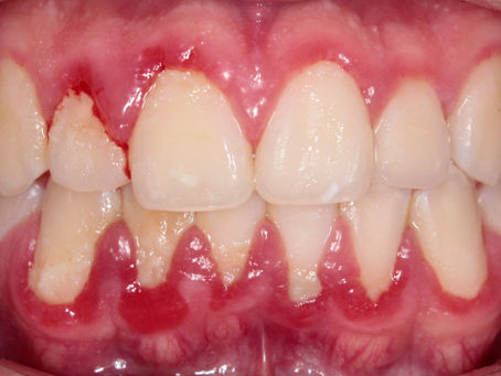
¿Has notado que tus encías sangran o están inflamadas? ¿Sientes molestias al cepillarte o al comer? ¡No estás solo! Muchas personas en Puebla enfrentan problemas de encías y necesitan atención especializada. Elegir al mejor periodoncista Puebla puede marcar la diferencia para recuperar tu salud bucal y tu sonrisa. Hoy te comparto cómo hacerlo de manera sencilla y efectiva. ¿Por qué es importante elegir al mejor periodoncista Puebla? La salud de tus encías es fundamental para
Dra. Patty Porras
hace 2 días4 Min. de lectura


Cómo aprovechar tu cita de salud periodontal en Puebla
¿Sabías que una buena salud de tus encías es clave para mantener una sonrisa radiante y evitar problemas mayores a nivel sistémico? Yo también lo aprendí con el tiempo. Por eso, quiero compartir contigo cómo sacar el máximo provecho a tu cita de salud periodontal en Puebla. ¡Vamos a descubrirlo juntos! ¿Qué es una cita de salud periodontal y por qué es importante? La salud periodontal se refiere al cuidado de las encías y los tejidos que sostienen tus dientes. Muchas veces,
Dra. Patty Porras
31 mar3 Min. de lectura


Todo sobre el tratamiento quirúrgico para encías en Puebla
¿Has notado que tus encías sangran o se ven inflamadas? ¿Sientes molestias al cepillarte o al comer? ¡No estás solo! Muchas personas enfrentan problemas en las encías que requieren atención especializada. Hoy quiero contarte todo sobre el tratamiento quirúrgico para encías, una solución efectiva para recuperar la salud bucal y la sonrisa que mereces. La salud de tus encías es fundamental para mantener tus dientes firmes y evitar complicaciones mayores, como la pérdida de los
Dra. Patty Porras
31 mar3 Min. de lectura


Me encanta platicar contigo
Hola! Soy la Dra. Patty Porras, especialista en Periodoncia e Implantología. ¿y qué es eso? Bueno pues mi especialidad básicamente trata...
Dra. Patty Porras
15 abr 20241 Min. de lectura
bottom of page